Dear Readers,
It is beyond discussion that after COVID pandemic world changed. As always necessity commands and people to communicate with each other in social, work and learning aspects but personal contact was not allowed, or one can say, not advisable. And how the engine had to keep going in the best way possible, internet was the solution. Some platforms that already existed gained visibility and became fundamental to knowledge transmission at all levels from fundamental school to doctorate. And it is necessary to say that it was the best solution POSSIBLE.
As a college teacher I teach in the third and in the fifth years of dentistry courses and the knowledge of the third year is applied in the last year of college. All students that attended to the discipline “Dental Occlusion” in the third year during COVID pandemic and learn about mounting dental casts in articulators could not repeat the procedure in the fifth year, that is to confirm that due to the chaotic situation installed by the pandemic it was the best solution we had in our hands but far from being the ideal one.
In Brazil, I cannot say for the rest of the world but the same thing must have happened, Private universities loved the idea because they have no more physical limitations regarding number of students that attend the course and one professor lectured for several university campuses at the same time saving money, but the strategy was a disaster, the quality and amount of knowledge that the former student presented when entering the job market left and still leaves much to be desired. In such a way that at the beginning of this year, Brazilian Ministry of Education and Culture (MEC) decided that distance education must be banned in the next two years from some courses and Dentistry is among them. This is too obvious that the training of professionals that you perform their profession directly inside one’s mouth or indirectly through a mechanical arm commanded by a computer or a 3D printer cannot have only, or mostly, theoretical knowledge. Practice, lots of practice is essential to train a good dentist.
Following the same path, Jaw Functional Orthopedics teaching is being done through online courses. Lots of 2- or 3-days online curses promise that after the course the dentist will be able to treat patients, most of the marketing talks about children with excellence. It is a very comfortable untruth. Comfortable for the dentist who thinks it is nonsense and silly to take a longer, more expensive course that demands more learning effort and comfortable for the instructor who fills his/her coffers often at the expense of biological damage to many patients and for the JFO that conveniently receives the reputation of being inefficient for the treatment of malocclusions. The promise that the knowledge of the indication of the functional orthopedic appliance (FOA) is enough to start a treatment is too shallow and extremely dangerous. Of course, knowing the indications of each treatment protocol is essential, but far, far away from being enough.
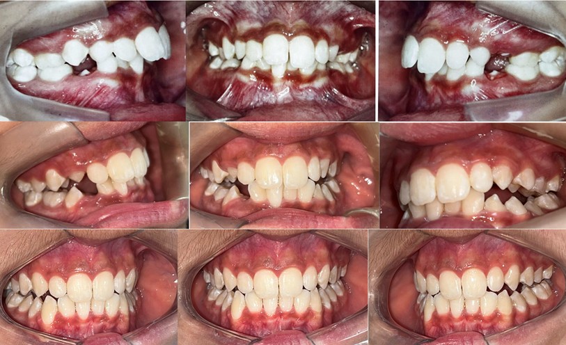
Looking at the patient below (Fig. 1) with an angle class II, retrognathia confirmed but the lateral teleradiograph of the face, which is the best FOA? For example, based on the technics I master the patient could be treated with: Planas Compound Indirect Tracks, Planas Simple Indirect Mixed Long Tracks; Bimler appliances type A from 1 to 6 and type B from 1 to 6 either; Simões Network – SN1, 3, 4, 5, 6, 8,9, 10; Orlando Santiago System – OSS 2 and OSS3, and many more that I do not master as Fränkel Regulator II, Bionator, Klampt technic, twin block and so on.
Well, there is no more than 3 or four FOA that will treat the patient with excellence, and the choice is based on clinical and cephalometric specific data that I doubt can be taught on a 2/3-day course. It is inconceivable that the dentist that attends these courses thinks they are able to perform such a complex treatment as a JFO treatment is.

Fig. 1. Clinical case. Upper set are the initial intraoral photos. The middle set intermediate intraoral photos and lower set photos from March 2025
Angle’s class 1 is restored, the retro and micrognathia are treated, and now??? The support of the occlusion is in the anterior teeth, is it ok? Is it bad for this phase of treatment? How can one that did not have quality clinical training know? Just answering the question this situation is expected and under control, but I saw in my 40 years of practice dentists changing treatment protocol due to lack of knowledge to lack of clinical training.
Finishing my thought, I really believe that some parts of an excellent course can be done using synchronous online classes. Some discussions of experts also can be done online also. I am not against transmission of knowledge online; I am completely against lack of clinics with patients for beginners and an entire online course which promises to enable you to perform JFO treatment on a human being remotely.